Understanding the Anomaly Scan
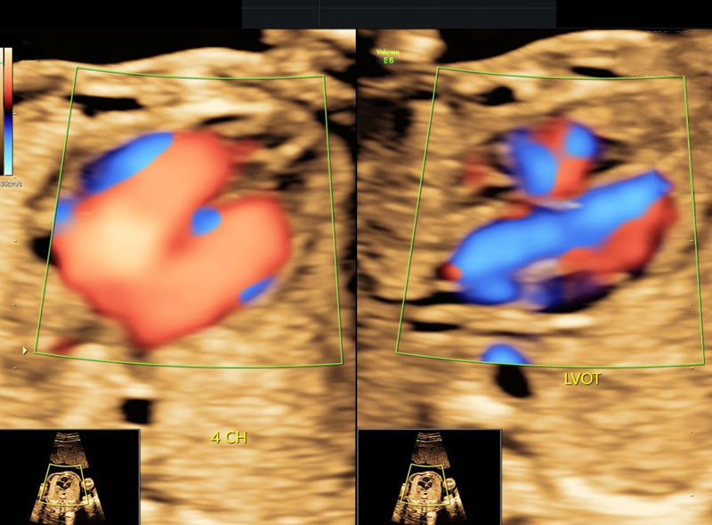
Anomaly scan remains one the cornerstone scans of pregnancy. It is known by different names like targeted scan, anatomy scan, malformation scan, second trimester scan, level 2 etc. All the above names reflect the primary purpose of the scan which is to assess the structure of the baby from head to toe and make sure that it is normal.
It is usually done at 19-20 weeks of pregnancy in every patient irrespective of prior scans. Doctors will study the baby’s structure in great detail and will be able to determine whether baby’s growth is on track. They will be able to pick up structural problems like heart defects, spine defects, brain defects etc. Not all findings highlighted in the scan, will need action. Many of these will only need a follow up and will be associated with normal outcomes. Some will need further testing - like amniocentesis to rule out genetic problems/infections etc. Unfortunately, some will be severe enough so that family is offered the option of termination of pregnancy. In our country this option is available till 24 weeks of pregnancy.
Having a normal anomaly scan, is great news for a family as it rules out a vast majority of problems. However; it does not preclude further scans as some problems become obvious only as the baby grows. Hence growth scans in the third trimester are a must.
Dr. Ashwini Rathi is Director of Mumbai Fetal Medicine Centre, Irla Parimal society, Off Juhu lane. Andheri (W) and a consultant at Surya Mother and Child hospital, Santacruz.
For appointments please call – +91-8669227227.
